利用CRISPR/Cas9系统构建人HPRT1基因定点突变细胞株 |
| 张楷,刘蔚,刘小凤,陈瑶生,刘小红,何祖勇 |
|
Generation of cell strains containing point mutations in HPRT1 by CRISPR/Cas9 |
| Zhang Kai,Liu Wei,Liu Xiaofeng,Chen Yaosheng,Liu Xiaohong,He Zuyong |
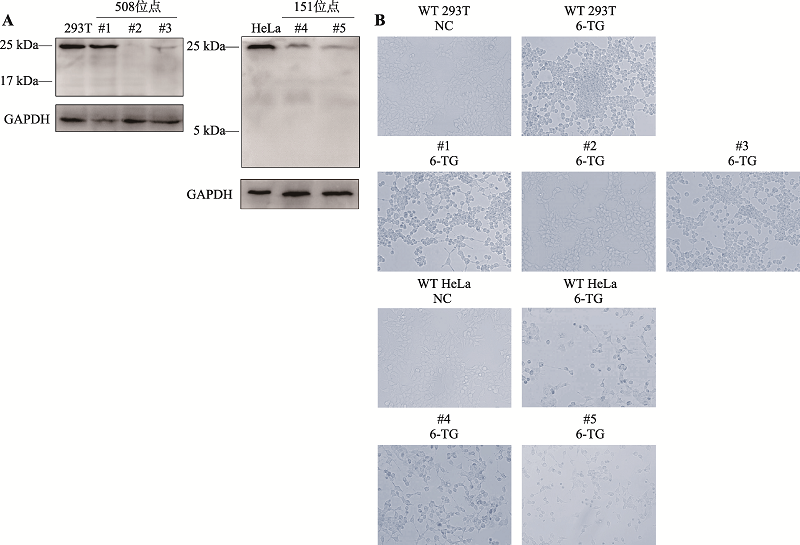
| 图5 Western blot和6-TG实验结果 A:Western blot结果。HPRT1蛋白仅在1条等位基因翻译提前终止的#1细胞株中正常表达,其他4株细胞中都不能正常表达,且在预测的可能出现截短肽链的位置均未能检测到截短的肽链;B:6-TG实验结果。仅全部HPRT1等位基因翻译提前终止的#2细胞株可以在添加6-TG的培养体系中存活,其他4株细胞都死亡。 |
| Fig. 5 Results of Western blot and 6-TG |
|