TSR1突变导致先天性白内障及其在晶状体中的表达 |
| 于雅洁, 邱峰, 张新安 |
|
Studies of congenital cataract-related TSR1 mutation and its expression in the lens |
| Yu Yajie, Qiu Feng, Zhang Xin-an |
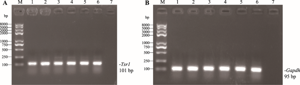
| 图3 Tsr1在小鼠不同组织中的表达 A:Tsr1在小鼠各组织中的表达。B: GAPDH在小鼠各组织中的表达。M:DNA Marker trans2k plusⅡ;1:晶状体;2:脑;3:肝;4:脾;5:肺;6:肾;7:空白对照。 |
| Fig. 3 Expression of Tsr1 in mouse different tissues |
|